Prosthodontics

Prosthodontics is the dental specialty primarily concerned with the restoration and replacement of lost or damaged teeth.

Sometimes called the “architects of the smile,” prosthodontists are highly trained specialists with a unique understanding of all the elements that go into a beautiful, functional and natural-looking smile—not just the teeth, but also the gums, lips, and facial features. When it comes to planning and carrying out a full-scale smile makeover, a team of dental professionals is often required; many times, that team is captained by a prosthodontist. What qualifies a prosthodontist to take on this role? After graduating from college and completing the regular four years of dental school, prosthodontists receive an additional three years of advanced training at a graduate program accredited by the American Dental Association (ADA). Prosthodontists combine this specialized education with countless hours of clinical experience, and can bring their skills to bear on simple or complex restorations. They are one of the nine ADA-recognized dental specialties.

  • Authoritatively evisculate
  • Collaboratively customize frictionless
  • Proactively morph standardized synergy
  • Quickly coordinate future-proof
  • Authoritatively evisculate
  • Collaboratively customize frictionless
  • Proactively morph standardized synergy
  • Quickly coordinate future-proof
Specialists

Dr. Gargi Kandhari

Oral Surgeon and Implantologist
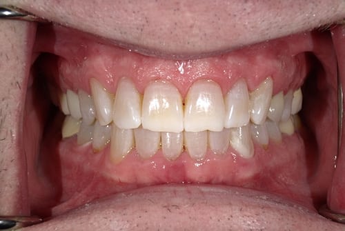
Before/After

Dr. Kemal Larson

Prosthodontist

Dr. Cynthia Johnson

Oral and Maxillofacial Surgeon
TOP